Radiología digital dinámica (DDR)
La radiología digital dinámica es una innovadora técnica de diagnóstico por imagen con la que se consiguen radiografías en movimiento en tiempo real.
.jpg?width=1200&height=456)
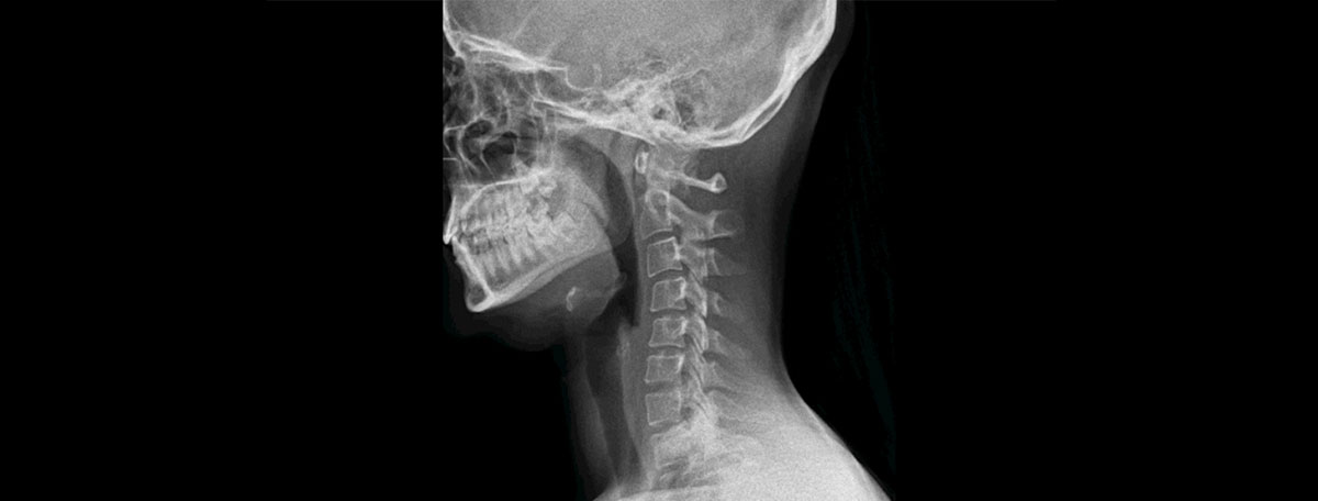
La radiología digital dinámica o DDR (Dynamic Digital Radiography) utiliza rayos X para ver imágenes en movimiento del interior del cuerpo. Este efecto se consigue porque el equipo radiológico emite varios pulsos de energía sucesivos y rápidos durante unos segundos. Cuando se combinan todas las radiografías obtenidas, se percibe el movimiento de las estructuras corporales en tiempo real.
Una radiografía convencional ofrece información morfológica del organismo, mientras que la DDR, además, proporciona datos funcionales cuantificados. La cantidad de radiación que recibe el paciente es similar a la de una radiografía convencional y significativamente inferior que la de una fluoroscopia, que emite rayos X de forma continua y necesita utilizar material de contraste para distinguir claramente los tejidos blandos.
Las imágenes precisas de la radiología digital dinámica reducen los tiempos y facilitan un diagnóstico personalizado, ya que se dispone de información muy precisa.
¿Cómo funciona?
Al igual que en las radiografías convencionales, se utiliza un dispositivo para la emisión de los rayos X y una placa sensible a la radiación que recoge las imágenes después de atravesar el tejido corporal. El paciente puede permanecer tumbado o de pie, algo que supone una clara ventaja frente a la resonancia magnética o la tomografía computarizada. Las imágenes son digitales, por lo que se procesan y se muestran en la pantalla de un ordenador.
La novedad principal de la radiología digital dinámica es que durante 15 segundos emite 15 pulsos de radiación al segundo. Cuando se ven estas 225 diapositivas seguidas en forma de cine loop, se obtiene una radiografía en movimiento.
¿Cuáles son los beneficios de la radiología digital dinámica?
Los beneficios más destacados de la DDR son:
- Imágenes en movimiento que proporcionan información sobre la anatomía y la funcionalidad de las estructuras corporales.
- Campo de visión amplio.
- Radiografías de gran tamaño (hasta 17 x 17 pulgadas o 43,8 centímetros).
- Alta resolución.
- Dosis de radiación baja.
- Tiempo de exploración reducido (alrededor de un minuto para conseguir alrededor de 20 segundos de movimiento).
- El paciente puede estar tumbado, sentado o de pie.
¿Cuándo está indicada?
La radiología digital dinámica se utiliza principalmente en las siguientes especialidades:
- Ortopedia: para estudiar la articulación de la muñeca, el hombro o la rodilla, así como patologías de la columna vertebral, como el latigazo cervical, la hernia de disco o la escoliosis.
- Neumología y medicina intensiva: para evaluar la función pulmonar, ya que se pueden observar dos o tres respiraciones completas con un solo examen. Es útil para diagnosticar disnea, hipertensión pulmonar o enfermedad pulmonar obstructiva.
Qué esperar de la radiología digital dinámica
En el momento de someterse a una DDR, el paciente no percibe diferencias frente a la radiografía convencional. La prueba es ambulatoria y se puede retomar la rutina una vez finalizada.
Para acceder a la sala de radiología, se debe vestir una bata adecuada y retirar los objetos metálicos que se lleven encima (joyas, gafas, dentadura postiza). Una vez colocado en la posición más adecuada para tomar las imágenes, el paciente debe seguir las instrucciones de movimiento que le indique el personal sanitario desde la sala contigua. Cuando se toman todas las imágenes, después de uno o dos minutos, se retiran tanto el dispositivo emisor de rayos X como la placa receptora y el paciente puede abandonar el centro médico.
Especialidades en las que se utiliza
Los radiólogos se encargan de la toma de imágenes, normalmente a petición de los especialistas de urgencias, medicina intensiva, neumología, ortopedia o cirugía torácica.





