Quirónsalud
Blog de los servicios de Urología, Ginecología, Coloproctología y Medicina Física-Rehabilitación y Fisioterapia de los Hospitales de Quirónsalud integrados en el Sermas.
En esta entrada del blog nos gustaría hablar sobre los cuestionarios de síntomas, una herramienta muy útil en la consulta, con la que urólogos y ginecólogos medimos la severidad e impacto de la incontinencia.
Cuestionarios de síntomas
.jpg?width=211&height=214&aspectRatio=true)
Existen diferentes tipos de incontinencia de orina, como ya hemos explico en otros blogs. Para detectar de qué tipo es la suya resulta imprescindible la anamnesis, es decir, lo que le cuenta a su médico. Pero no siempre es sencillo explicar las sensaciones que uno tiene o la magnitud del problema en su vida diaria. Cuando llegamos a la consulta, el profesional que nos atiende nos sorprende con preguntas que nunca nos habíamos planteado. ¿Cada cuánto tiempo orina? ¿Cuántas veces orina al día? ¿Cuánto bebe al día? ¿Siente ganas repentinas e irrefrenables de orinar?
Todas estas cuestiones son difíciles de resolver si nos paramos a analizarlo. Por este motivo son muy útiles herramientas como el diario miccional o los cuestionarios de síntomas y calidad de vida.
Los cuestionarios de síntomas son sencillos formularios de preguntas sobre diferentes síntomas y cómo afectan a su calidad de vida.
Además de facilitarnos el llegar a un diagnóstico, también nos permite valorar la respuesta y la evolución de los síntomas tras los tratamientos realizados.
Existen numerosos cuestionarios de síntomas, sobre diferentes patologías y de distintas longitudes. Son muy sencillos de rellenar. A continuación, les mostramos algunos de los más utilizados en nuestras consultas:
El test de severidad de Sandvick nos permite graduar la incontinencia y observar el caFOT mbio tras el tratamiento pautado.
El cuestionario ICIQ-SF nos permite valorar la severidad de la incontinencia urinaria. Las preguntas del final, además, nos permiten clasificar la incontinencia, distinguiendo entre incontinencia de esfuerzo, de urgencia o mixta, según las respuestas marcadas. Es uno de los cuestionarios validados más recomendados por las diferentes sociedades científicas y más utilizado en la práctica clínica.
Diario miccional. Instrucciones para rellenarlo
El Diario Miccional recoge adecuadamente sus síntomas y permite valorar a su médico y a usted la gravedad de su enfermedad y la mejora que obtiene con un tratamiento. Rellénelo durante 3 días con atención (1 día en cada hoja), anotando:
A continuación, le ponemos un ejemplo de cómo rellenar el diario:
Hora a la que se levanta de la cama 8:15h. Hora a la que se acuesta 23:30h
El diario miccional es una herramienta internacionalmente reconocida y validada para el estudio de muchas disfunciones miccionales, fundamentalmente la incontinencia urinaria. Permite analizar la frecuencia miccional, estudiar la nocturia y evaluar la gravedad de la urgencia miccional, al tener incluida la escala PPIUS (escala de percepción del paciente de la intensidad de la urgencia). Además, proporciona información útil sobre la ingesta de líquidos y volumen miccional, uso de absorbentes y los hábitos del paciente.
Este diario miccional fue desarrollado por un urólogo español, el Dr. Miguel Jiménez Cidre, y es una herramienta de referencia para los estudios realizados en pacientes con incontinencia de urgencia.
Dras. María Gozalo Rodríguez y Sara Pérez Rodríguez
Especialistas del Servicio de Ginecología y Obstetricia
Hospital Universitario Rey Juan Carlos
La Organización Mundial de la Salud define la incontinencia urinaria como cualquier pérdida involuntaria de orina que condiciona un problema higiénico y/o social, y que puede demostrarse objetivamente. Es un problema que afecta a una gran cantidad de personas a nivel mundial.
Entre las mujeres, se ha estimado que alrededor de un 35 por ciento padecen algún grado de incontinencia urinaria, siendo estos porcentajes variables entre los distintos países de Europa.1,2 En España, parece que afecta a un número ligeramente menor de mujeres, alrededor de 24 por ciento. Sin embargo, estos datos de frecuencia de aparición se basan en encuestas a la población, de manera que hay que tener en cuenta que la vergüenza puede jugar un papel a la hora de responder este tipo de encuestas.
En los varones, existe una gran variabilidad en base a la edad. Así, se estima que ocurre en uno de cada 6 varones (17 por ciento) de edad avanzada, y sólo en un 2-4 por ciento de los jóvenes.3,4
Existen dos tipos de incontinencia urinaria en función del mecanismo por el que ocurre: la incontinencia urinaria de esfuerzo y de urgencia.
La incontinencia urinaria de esfuerzo es la pérdida involuntaria de orina asociada a un esfuerzo (cargar peso, toser, estornudar, reír) o al ejercicio físico. Es consecuencia de una debilidad del soporte fibromuscular existente en la pelvis, y se produce en las circunstancias en las que, voluntaria o involuntariamente, aumentamos la presión que se ejerce en condiciones normales sobre dicho soporte.5
En condiciones normales, el suelo de la pelvis ofrece una resistencia a estos aumentos de presión, de manera que el descenso de los órganos pélvicos como la vejiga y la uretra queda amortiguado por este soporte muscular, manteniéndola cerrada (figura 1, A).
Cuando el soporte muscular de la pelvis está debilitado, el aumento de presión intraabdominal se traduce en un descenso de la uretra que, al no tener una resistencia contra la que cerrarse, permanece abierta desencadenando la pérdida de orina (figura 1, B).
La incontinencia urinaria de urgencia es la que se produce como consecuencia de la urgencia miccional, el deseo brusco e irrefrenable de orinar sin una causa identificable. Esto sucede en ausencia de un llenado vesical completo (figura 2).
El motivo por el que se produce esta sensación de urgencia para ir a orinar no está claro, pero parece existir una intervención activa de las terminaciones nerviosas que llegan a la vejiga, y una forma errónea de procesar los estímulos nerviosos que determinan la necesidad de orinar en el cerebro.7
Finalmente, ambos tipos de incontinencia pueden coexistir en la misma persona. Esto es lo que se conoce como incontinencia urinaria mixta.
Dr. Eduardo Useros Rodríguez
Especialista en Urología
Servicio de Urología
Unidad de Urología Funcional
Hospital Universitario Infanta Elena (Valdemoro)
Bibliografía:
1. Hunskaar S, Lose G, Sykes D, Voss S. The prevalence of urinary incontinence in women in four European countries. BJU Int. 2004;93(3):324-330. doi:10.1111/j.1464-410X.2003.04609.x
2. Irwin DE, Milsom I, Hunskaar S, et al. Population-Based Survey of Urinary Incontinence, Overactive Bladder, and Other Lower Urinary Tract Symptoms in Five Countries: Results of the EPIC Study. Eur Urol. 2006;50(6):1306-1315. doi:10.1016/j.eururo.2006.09.019
3. Thom D. Variation in estimates of urinary incontinence prevalence in the community: effects of differences in definition, population characteristics, and study type. J Am Geriatr Soc. 1998;46(4):473-480. doi:10.1111/j.1532-5415.1998.tb02469.x
4. Shamliyan TA, Wyman JF, Ping R, Wilt TJ, Kane RL. Male urinary incontinence: prevalence, risk factors, and preventive interventions. Rev Urol. 2009;11(3):145-165. http://www.ncbi.nlm.nih.gov/pubmed/19918340
5. DeLancey JOL. Structural support of the urethra as it relates to stress urinary incontinence: The hammock hypothesis. Am J Obstet Gynecol. 1994;170(6):1713-1723. doi:10.1016/S0002-9378(94)70346-9
6. Center for Urological Care of Berk County. Overactive Bladder. Patient Education Center. https://www.centerforurologiccare.com/patient-education/overactive-bladder-2/
7. Abrams P, Cardozo L, Wagg A, Wein AJ, eds. Incontinence. 6th International Consultation on Incontinence. 6th ed. International Continence Society; 2017.
Dentro de la Escuela de Incontinencia 4H, hoy vamos a hablar de determinados temas del tratamiento de la incontinencia fecal que es importante tener en cuenta. En otro blog os contaremos más concretamente los tratamientos de los que disponemos para la incontinencia fecal.
Manejo de expectativas: curabilidad vs cronicidad
Es muy importante tratar este tema con los pacientes. ¿Qué se espera del tratamiento de la incontinencia? ¿Me voy a curar? Estas son algunas de las múltiples preguntas que tienen los pacientes en las consultas de patología de suelo pélvico. Incluso muchas veces no se atreven a preguntarlo, quizás, por miedo a la respuesta.
Frecuentemente, acuden pensando que les han derivado a esta consulta porque ahí tienen la varita mágica con las que les van a liberar de la carga que supone estar pendientes del WC todo el día o aguantar pesados absorbentes con el miedo al estigma que de ello se pueda derivar. Y es que el mismo resultado puede ser un éxito o un fracaso en función de las expectativas del paciente.
Para responder a la pregunta de si se va a curar es necesario conocer la causa de la incontinencia y de las características de la misma.
Aunque nos gusta a los médicos clasificar la incontinencia en función de su patogenia, la inmensa mayoría de las incontinencias son de causa multifactorial. Es decir, que no sólo se ha necesitado un factor para producirla. Cuando hay varios factores que han desencadenado la incontinencia no se pueden restablecer todos, ya que algunos de ellos no son modificables como la edad, la menopausia en las mujeres, ocasionalmente la obesidad, las enfermedades neurológicas adquiridas o congénitas, etc. Por lo tanto, en este escenario no podemos hablar de curación total, pero si podemos decir que hay muchas herramientas para conseguir mejorar la calidad de vida y disminuir la dependencia del WC.
Si la incontinencia es consecuencia inmediata a un factor desencadenante único, por ejemplo, un daño esfinteriano durante el parto o una cirugía de ano reciente, se puede restablecer quirúrgicamente ese defecto anatómico adquirido con mayor índice de éxito que si se asocia a algún factor más.
Atendiendo a los síntomas que acompañan a la incontinencia, si existe una alteración de la consistencia de las heces, es muy probable que corrigiendo la diarrea o mejorando la enfermedad que produce la diarrea (como la enfermedad inflamatoria intestinal) se solucione la incontinencia. Si la incontinencia ha sido secundaria a la introducción de algún fármaco y éste se puede sustituir por otro (por ejemplo, la metformina) también es muy probable que mejore muchísimo la clínica.
Sin embargo, también hay incontinencias que se deben a un único factor pero que no son corregibles (por ejemplo, una cirugía de recto, un accidente cerebrovascular, una enfermedad desmielinizante). En este caso también debemos ser francos con los pacientes y explicarles que hay muchas herramientas para mejorar mucho la calidad de vida, pero nos tenemos que concienciar y esforzarnos por llevarlas a cabo.
En general la incontinencia es un problema crónico para el que hay muchas herramientas para tratarla. Pero para que tengan éxito las terapias, la motivación del paciente es fundamental, ya que requieren constancia y esfuerzo.
Y finalmente, lo que se quiere, sobre todo, y será un éxito del tratamiento, es mejorar la calidad de vida de los pacientes. Es decir, reducir el número de episodios de incontinencia, y aumentar el tiempo de retraso de la deposición. Por ejemplo, pasar de no poder diferir la deposición ni 1 minuto a pasar a poder posponerla 5 o 10 minutos puede ser todo un logro para un paciente, ya que le da tiempo a encontrar un lugar socialmente adecuado para hacer la deposición.
Medidas de confort
Como ya se ha explicado anteriormente el tratamiento de la incontinencia es una pirámide cuya base nunca se debe abandonar porque si no, el resto de terapias fallará.
Muchas veces modificando el estilo de vida se va a conseguir controlar la incontinencia lo suficiente para llevar una vida social y laboral activa.
Es fundamental intentar salir de casa con el intestino vacio, para conseguir unas horas de "tranquilidad". Para ello, además de dedicar tiempo a esta rutina estableciendo horarios, es bueno valorar que alimentos estimulan es reflejo gastrocólico de manera más eficaz (café, infusiones…). También es bueno, valorar si la toma de laxantes por la noche ayuda a este propósito. El uso de microenemas para acabar de limpiar la ampolla rectal está indicado en soiling o incontinencias pasivas importantes.
Respecto a la dieta la tienen que ajustar para conseguir una deposición de consistencia aumentada para tener mayor control de la misma.
Y en cuanto a los fármacos de los que disponemos para mejorar la incontinencia tenemos los suplementos de fibra (plántago ovata), los antidiarreicos (loperamida +/- fosfato de codeina), antidepresivos (aumenta el tiempo de tránsito colónico), sales biliares como la resincolesteramina (en colecistectomizados), kreon (en pacientes con cirugías pancreáticas), lactasa (en pacientes con intolerancia a la lactosa)…
También es importante retirar aquellos fármacos que producen diarrea y evitar las dermatitis perianales porque puede empeorar la incontinencia.
Incontinencia en el paciente anciano o frágil
La incidencia de incontinencia aumenta con la edad, pasando de un 10-20 % en la población general, a más de un 50% en los pacientes por encima de 75 años.
El manejo de la incontinencia en la población de mayor de 75 años se ve dificultada por la multifactorialidad de la misma. A la edad, que es un factor de riesgo independiente hay que añadir la presencia en la mayoría de los casos, las enfermedades crónicas que hacen que las estructuras implicadas en la continencia no funcionen correctamente. Además, a lo largo de los años se han podido sumar otros factores de riesgo como son partos, cirugías abdominales o de ano, enfermedades neurológicas…
Además, la edad es una limitación para la realización de algunos de los tratamientos. Por ejemplo, puede que tengan dificultades para entender, realizar y coordinar los movimientos explicados durante el biofeedback con el fisioterapeuta. Además, al ser pacientes generalmente polimedicados, podemos encontrar dificultades a la hora de añadir fármacos que puedan interaccionar con los ya prescritos o estemos limitados para sustituir los que creamos que incrementan la incontinencia.
Entonces, las opciones de tratamiento de la incontinencia que tenemos en los pacientes ancianos o frágiles son optimizar al máximo la alimentación para mejorar la consistencia de las deposiciones y valorar junto con los geriatras la medicación que toma el paciente para ver si alguna puede producirles diarrea.
Creemos que la neuroestimulación periférica no está contraindicada, aunque a veces puede ser un hándicap el hacerla de forma hospitalaria y puede ser menos eficaz al estar alterada la inervación.
Además, se pueden proponer las irrigaciones en los pacientes con un soporte social bueno, para disminuir el número de escapes y la necesidad de absorbentes constantemente.
Para concluir, es importante saber que una leve mejoría es un éxito en un paciente que no tiene que ir a trabajar o que no tiene una vida social importante, porque van a estar mucho más satisfechos.
Mucha gracias, espero que os haya sido de utilidad.
Dra. B. Manso Abajo
Jefe de Sección de Coloproctología
Servicio de Cirugía General y del AP. Digestivo
Hospital Universitario Rey Juan Carlos (Móstoles. Madrid)
En el diagnóstico de la incontinencia en su más amplio espectro, es decir, urinaria, fecal o mixta, la prueba más importante es el relato del paciente, ya que ni todas las incontinencias son iguales ni cada persona la vive de la misma manera.
Tras una buena anamnesis, que como nuestros pacientes saben es muy extensa, y tras la necesaria exploración física, utilizaremos diversas pruebas diagnósticas para intentar esclarecer las causas posibles de tal incontinencia.
En esta entrega de la Escuela de Paciente Experto en Incontinencia, consideraremos algunos aspectos sobre el diagnóstico de la incontinencia fecal.
Me han pedido varias pruebas, ¿por qué?
Ya en la primera consulta nuestros pacientes saben que el mecanismo de continencia es complejo y que la incontinencia puede tener varios factores contribuyentes a su manifestación. Es por eso que en el estudio diagnóstico tengan que realizarse varias pruebas para poder posteriormente realizar un tratamiento dirigido a la causa.
Conviene señalar que no existe propiamente una prueba diagnóstica por la que haya que empezar, más bien será a partir del relato del paciente, la anamnesis realizada y la exploración física como el médico decidirá qué prueba solicitar inicialmente.
Una advertencia: ¿puede ser la incontinencia fecal manifestación de otras enfermedades?
Es necesario tener en cuenta al comienzo del estudio de la incontinencia que ésta puede ser parte de un cuadro más amplio, por ejemplo, en el caso de una malabsorción intestinal que curse con diarreas crónicas e incontinencia fecal secundaria. Es clave que al inicio se descubra si hay patología a otros niveles, o lo que es lo mismo: no permitamos que un signo clínico nos impida ver el resto de la expresión de un cuadro más amplio.
Es claro entonces que puede ser necesario hacer algunos estudios diagnósticos dirigidos a descartar otras patologías y que no son las habituales o específicas del estudio de la incontinencia, como una colonoscopia, estudio microbiológico de heces (coprocultivo) u otras.
¿Cuáles serían entonces las pruebas diagnósticas más utilizadas y específicas del estudio de la incontinencia fecal?
Es muy probable que el médico solicite más de una prueba de entrada al comienzo del estudio, pero por dejarlas todas enumeradas incluiríamos: anoscopia, ecografía endoanal, perfil presivo esfinteriano, rectoscopia, manovolumetría anorrectal, resonancia magnética pélvica dinámica, electromiografía esfinteriana y latencia de pudendos.
No son pruebas dolorosas que requieran sedación o anestesia, pero tienen algunas particularidades, como la necesidad en algunas de hacer previamente una preparación intestinal con enemas.
Conozcamos más a fondo las pruebas diagnósticas:
Las diferentes pruebas diagnósticas nos van a permitir estudiar desde un punto de vista estructural y/o funcional, una región anatómica más o menos extensa. En la siguiente tabla clasificamos de este modo las pruebas citadas previamente:
Anoscopia:
La anoscopia es una prueba diagnóstica que consiste en la introducción por el ano de un instrumento con forma de tubo que dispone de un sistema de iluminación y permite ver la superficie de los últimos centímetros de recto y del canal anal.
La anoscopia forma parte frecuentemente de la exploración física, realizándose en la camilla de la propia sala de consulta durante la misma. Es una prueba de corta duración y no precisa de preparación especial ni de sedación o anestesia.
Ecografía endoanal:
En esta prueba diagnóstica se introduce por el ano una sonda ecográfica de aproximadamente 1cm de diámetro. La ecografía utiliza ultrasonidos, por lo que no hay radiación en esta prueba. La ecografía endoanal permite ver la estructura en profundidad de la pared rectal y anal, así como los tejidos periféricos.
Es una prueba fundamental para valorar la posibilidad de daño esfinteriano y cuantificarla. Para su realización no se precisa anestesia. En ocasiones puede ser necesario un enema previo a la realización de la prueba.
Manometría anal. Perfil presivo esfinteriano (PPE)
La exploración del perfil presivo esfinteriano (PPE) permite una valoración funcional del ano. Para su realización se utiliza una sonda de escasos milímetros de diámetro. La sonda, multiperforada, dispone de un pequeño globo hinchable en su extremo.
En el estudio se hace una valoración de las presiones del ano en diferentes situaciones: en reposo, esfuerzo de contracción voluntaria, tos… De este modo podemos estudiar el funcionamiento de cierre del ano.
Junto con la ecografía endoanal conforma un tándem clave, estructural y funcional, en la valoración del daño esfinteriano.

Rectoscopia:
Es una exploración directa sobre la superficie del recto. Es muy similar a la anoscopia, con la diferencia de la zona que se viene a explorar.
Para la realización de esta prueba se utiliza un instrumento con forma de tubo que se introduce hacia el recto. Es necesario insuflar el recto para distenderlo y poder examinar su superficie.
La utilidad de esta prueba en el estudio de incontinencia es que permite descartar cuadros inflamatorios, tumorales o infecciosos en el recto.
Al tener que explorar la superficie de las paredes del recto, es necesaria la preparación previa con enemas para vaciar la ampolla rectal y permitir el examen.
Manovolumetría anorrectal:
Esta prueba se hace habitualmente en conjunto con el estudio del PPE, ya que se suele utilizar la misma sonda si ésta va equipada con el globo hinchable.
Introduciendo diferentes volúmenes en el globo hinchable y haciendo diferentes maniobras, se lleva a cabo el estudio de aspectos como la sensibilidad rectal, distensibilidad, reflejos anorrectales… Es una prueba que completa la valoración funcional del complejo anorrectal.
Al ser una prueba que estudia los volúmenes de ocupación del recto, es necesario que la ampolla rectal esté vacía, para lo cual se hace una preparación previa con enemas para permitir el examen.
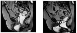
Resonancia Magnética (RM) pélvica dinámica:
La resonancia magnética (RM) es una prueba diagnóstica de imagen muy utilizada en diferentes campos de la medicina. Es un método diagnóstico que no utiliza radiaciones y que no es doloroso.
Una característica de la RM es que permite, con una sola prueba, hacer un estudio tanto estático (estructural) como un estudio dinámico (funcional). Para ello será necesaria la utilización de contraste y la introducción de un gel en vagina y recto para la fase dinámica.
Esta prueba, en la fase dinámica, pretende simular el acto de esfuerzo defecatorio. Mediante esta prueba se pueden valorar alteraciones que pueden condicionar el cuadro de incontinencia, como prolapso rectal o desinserción muscular puborrectal, entre otros.
Electromiograma (EMG) y Latencia de pudendos:
El EMG y el estudio de latencia de nervios pudendos es una exploración neurofisiológica de los músculos esfinterianos y de los nervios que los controlan (nervios pudendos).
No es una prueba dolorosa ni que requiera sedación. Para su ejecución se utiliza un sensor que, mediante unas pequeñas corrientes eléctricas, permite medir la actividad de las fibras musculares esfinterianas y la conducción del impulso por el nervio que las controla. Las alteraciones de la contracción muscular como de la velocidad de conducción o la amplitud del impulso nervioso son muy orientativas tanto en el diagnóstico de las causas de la incontinencia como para determinar posibles opciones de tratamiento.
A modo de conclusión
Visto el amplio panorama de pruebas realizables en el estudio de la incontinencia, queda clara la idea de que la continencia es un mecanismo muy complejo, y la incontinencia fecal puede ocurrir por la alteración de uno o varios "engranajes" de ese mecanismo. Las pruebas diagnósticas buscan los posibles puntos donde pueda estar la alteración, y cada una de ellas aporta una visión propia del problema.
También se reconoce que el estudio de la incontinencia fecal es complejo y en muchas ocasiones requiere de varias pruebas. Es importante que el paciente con incontinencia conozca las pruebas que le realizan, para participar, en colaboración conjunta con su terapeuta, en el diagnóstico y tratamiento de su patología.
Dr. P.A. Pacheco Martínez
Jefe de Sección de Coloproctología y Suelo Pélvico
Servicio de Cirugía General y del Aparato Digestivo
Hospital Universitario Infanta Elena
Dentro de la Escuela de Pacientes de Incontinencia y Suelo Pélvico (EPispel)de los Hospitales de Quirónsalud integrados en el Sermas, uno de los temas principales a tratar es la incontinencia anal. Con este post queremos aclarar aquellas dudas que puedan tenerse en relación a la misma, explicar las distintas formas de presentación en el paciente y las diferentes causas que pueden originarla.
¿Cómo se define la incontinencia anal?
La incontinencia anal es la pérdida involuntaria de heces (líquidas o sólidas) o gases, durante más de tres meses en una persona mayor de 4 años de edad. Se trata de una enfermedad cuya prevalencia real se desconoce; ya que sigue siendo difícil de diagnosticar debido a que en muchas ocasiones los pacientes no consultan estos síntomas por miedo o vergüenza. Se trata de un problema que puede llegar a afectar a la vida de los pacientes en muchos aspectos (social, económico, laboral…).
¿Cómo puede presentarse la incontinencia anal?
Existen distintas formas de presentación que pueden variar de un paciente a otro, incluso presentarse juntas.
Urgencia: tengo necesidad de evacuar y no puedo demorarlo
Pasiva: no soy consciente del escape.
Mixta: me suceden las dos cosas anteriores
Ensuciamiento o "Soiling": se refiere al manchado de la ropa interior secundario a mucosidad o filtrado de restos de las deposiciones.
¿Por qué se produce la incontinencia fecal (IF)?
En el cuerpo humano existen diferentes estructuras anatómicas y fisiológicas que van a facilitar el control de la continencia y participar en la defecación (el colon, el recto, los esfínteres anales, el músculo puborrectal…). Para el correcto funcionamiento de la continencia y la defecación se necesita que tanto las estructuras anatómicas mencionadas como el sistema nervioso se encuentren íntegros y coordinados.
La incontinencia fecal puede ser ocasionada por muchas causas que podemos dividir en dos grupos: aquellas en las que existen alteraciones anatómicas del complejo esfinteriano (lesiones musculares, lesiones nerviosas…) o aquellas con integridad de los esfínteres (alteración de la consistencia de las heces, mal funcionamiento o alteración de la sensibilidad rectal…). En la mujer la causa más frecuente de IF es la lesión obstétrica (los partos), mientras que en el varón la causa más frecuente son las cirugías anales o pélvicas previas.
Consultar de forma temprana estos síntomas junto con la identificación de las posibles causas desencadenantes de la IF, va a resultar muy importante a la hora de encontrar distintas estrategias de tratamiento con las que mejorar la calidad vida de estos pacientes.
Dra. Cristina Viyuela García.
Especialista de la Unidad de Coloproctología
Servicio de Cirugía General y del Aparato Digestivo
Hospital General Universitario de Villalba
Queremos trabajar juntos, profesionales de la salud y pacientes, para optimizar el conocimiento de los problemas relacionados con la perdida de la continencia, tanto urinaria como fecal, así como de los relacionados con el suelo pélvico, para que sea de ayuda educacional para el paciente, familiares y cuidadores, con el fin de mejorar su calidad de vida en términos de salud y bienestar físico y emocional, así como ayudarles a autogestionar su condición de una manera personalizada, individualizada, más cómoda, saludable, efectiva.
La finalidad de este blog es proporcionar información de salud que, en ningún caso sustituye la consulta con su médico. Este blog está sujeto a moderación, de manera que se excluyen de él los comentarios ofensivos, publicitarios, o que no se consideren oportunos en relación con el tema que trata cada uno de los artículos.
Quirónsalud no se hace responsable de los contenidos, opiniones e imágenes que aparezcan en los "blogs". En cualquier caso, si Quirónsalud es informado de que existe cualquier contenido inapropiado o ilícito, procederá a su eliminación de forma inmediata.
Los textos, artículos y contenidos de este BLOG están sujetos y protegidos por derechos de propiedad intelectual e industrial, disponiendo Quirónsalud de los permisos necesarios para la utilización de las imágenes, fotografías, textos, diseños, animaciones y demás contenido o elementos del blog. El acceso y utilización de este Blog no confiere al Visitante ningún tipo de licencia o derecho de uso o explotación alguno, por lo que el uso, reproducción, distribución, comunicación pública, transformación o cualquier otra actividad similar o análoga, queda totalmente prohibida salvo que medie expresa autorización por escrito de Quirónsalud.
Quirónsalud se reserva la facultad de retirar o suspender temporal o definitivamente, en cualquier momento y sin necesidad de aviso previo, el acceso al Blog y/o a los contenidos del mismo a aquellos Visitantes, internautas o usuarios de internet que incumplan lo establecido en el presente Aviso, todo ello sin perjuicio del ejercicio de las acciones contra los mismos que procedan conforme a la Ley y al Derecho.